
The Smile That Takes Your Breath Away
Pulmonary fibrosis is a disease in which the lungs gradually become stiff and scarred. Early signs can include shortness of breath during exercise, a persistent cough, and feeling very tired. In most cases, the cause is unknown (idiopathic pulmonary fibrosis), but triggers can include air pollution, certain medications, autoimmune or inflammatory diseases, and infections. There is no cure for pulmonary fibrosis, and no treatment to completely stop it from progressing. Some medicines can ease symptoms or slow the buildup of scar tissue.
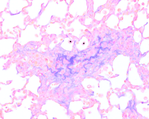
This image was captured as part of a study investigating C-type natriuretic peptide (CNP) as a potential treatment for pulmonary fibrosis. CNP occurs naturally in the body and can prevent scar-forming fibroblasts from multiplying and depositing stiff collagen, the main component of scar tissue. The image shows scarred lung tissue from a mouse in which the gene for CNP was switched off. Without CNP, fibrosis may develop more aggressively.
By studying lung tissue under the microscope, researchers can see how scarring develops when CNP is absent and test whether restoring CNP could protect against pulmonary fibrosis. Understanding how fibrosis spreads at the cellular level gives scientists the knowledge needed to develop new treatments for this challenging disease. Studies like this provide hope that, in the future, we may be able to slow, prevent, or even reverse lung scarring, helping patients breathe more easily and live happier, healthier lives.